设为首页 收藏本站 切换到宽版
立即注册
 找回密码
 立即注册

查看: 4380 | 回复: 0

管理员
发表于: 2018-1-31 14:06:30 | 只看该作者 |倒序浏览

儿童腺病毒肺炎


腺病毒(Adenovirus,ADV)是儿童急性呼吸道感染的常见病原,引起的儿童肺炎约占3%~5%,特别是6个月~2岁的婴幼儿,致病原因与此阶段腺病毒特异抗体缺乏有关。腺病毒肺炎有1/3发展为重症肺炎,约占重症肺炎的19.3%。重症腺病毒肺炎以呼吸系统受累为主要表现,易合并多系统并发症,病死率可高达10%,存活者有14%~60%可遗留不同程度的后遗症。

一、腺病毒特性与分型

腺病毒是一群分布十分广泛的无包膜DNA病毒,目前已报道过67种型别,并有逐渐增加的趋势。腺病毒分为A~G7个亚群,67个型别,其中1~51型是通过血清学进行分型,52~67型是由基因序列和生物信息分析进行分型。ADV虽有67个型别,但仅1/3的型别与人类疾病有关。常见与人类疾病相关的型别包括ADV-C1、ADV-C2、ADV-C5、ADV-B3、ADV-B7、ADV-B21、ADV-E4和ADV-F41;在免疫功能不全人群中,与疾病相关的常见型别为ADV-C1、ADV-C2、ADV-C5、ADV-A12、ADV-A31、ADV-B3、ADV-B11、ADV-B16、ADV-B34和ADV-B35。

腺病毒感染全年均可见,好发于冬季和早春季节,可通过呼吸道飞沫、直接黏膜接触、粪-口途径等方式传播。腺病毒在低pH环境下的稳定性尚有争议,但其对于胃酸以及胆汁具有抵抗力已得到证实,并且可以在大便中被检测到。腺病毒可在干燥环境下保持传染性达数周时间,因其为无包膜病毒,故对多种消毒剂具有抵抗力,85%~95%酒精消毒2min及次*溶液消毒10min可使其失去活性。腺病毒感染潜伏期多为2~14d,具体时间因感染型别及传播途径而不同。拥挤的环境、不良的卫生习惯更易引起感染流行。腺病毒具有较广泛的组织易噬性,可感染多种类型的细胞,因此,其感染除累及呼吸系统外,还可引起咽结膜热、角膜结膜炎、胃肠炎、尿路感染、肝炎等,免疫功能不全患者可出现严重的侵袭性腺病毒感染。其中引起呼吸道感染的常见型别为ADV-B3ADV-B7ADV-B16ADV-B21ADV-E4以及多数C群型别,其中ADV-B7ADV-E4是导致重症肺炎和死亡病例的重要型别不同型别的腺病毒可同时或相继感染同一个体,但腺病毒型别的测定对抗病毒治疗价值不大,仅用于流行病学调查和腺病毒感染的动力学研究。

二、儿童重症腺病毒肺炎的特点

1.临床表现特点 儿童重症腺病毒肺炎病初以高热、咳嗽为主要症状,肺部体征及影像学表现无明显特异性。随着病情进展,可出现高热不退,表现为39℃以上的稽留高热或不规则高热,常持续10~14d,然后体温骤降至正常;肺部中细湿啰音一般于起病3~4d后出现,且逐渐增多;影像学表现为肺部多发实变影,易出现肺内并发症以及多系统合并症;抗生素治疗无效。与其他病毒性肺炎不同,其感染中毒症状较重。国内研究表明,重症腺病毒肺炎常见肺内及胸腔的并发症有呼吸衰竭、胸腔积液、肺不张、急性呼吸窘迫综合征、气胸、支气管扩张、闭塞性细支气管炎。除呼吸系统外,重症腺病毒肺炎患儿消化系统、循环系统、神经系统均可受累,还可出现电解质酸碱平衡紊乱、肝肾功能异常、凝血功能障碍等表现,其中循环系统和消化系统最易受累。


2.影像学特点  临床研究表明,重症腺病毒肺炎患儿肺部影像学表现特点如下:双肺见大片实变影,部分融合成片,边缘模糊;实变可呈节段性,多肺叶受累,可融合成大叶性实变,内可见支气管充气征;病变多以肺门为中心分布,而外带病变相对较少;部分病例以肺间质改变或间实质改变为主,表现为支气管血管相对增多、模糊,其间可见沿支气管分布的细小点片状影;部分病例在疾病后期出现闭塞性细支气管炎、慢性肺病表现,如马赛克征象、细支气管壁增厚、扩张等。以上影像学特点均提示重症腺病毒肺炎患儿肺部病变较重,易遗留肺部后遗症。

3.重症腺病毒的肺损伤机制及早期识别目前认为,重症腺病毒肺炎致严重肺损伤与体内相关炎症介质和免疫功能的紊乱有关。重症肺炎时降钙素原水平、C反应蛋白水平、白细胞计数升高更为显著。

与呼吸道合胞病毒和流感病毒感染相比,腺病毒感染引起的炎症反应更强,其表现为热程更长,中性粒细胞为主的白细胞计数、C反应蛋白水平、血清IL-6水平升高更明显。腺病毒感染引起血清TNF-α水平升高更明显。腺病毒感染后的免疫应答中,T细胞主要辨识腺病毒衣壳蛋白,其中主要为CD4+T细胞。国内研究指出,腺病毒感染的患儿血清CD4+/CD8+值下降,其中重症组患儿的CD4+T细胞和CD4+/CD8+值下降更明显,提示其体内细胞免疫功能下降。由此可见,血清学以及免疫学指标的改变有助于早期识别重症腺病毒肺炎。

三、重症腺病毒肺炎的诊断

根据重症腺病毒肺炎的临床表现及影像学特点,结合病原学检查,诊断重症腺病毒肺炎并不困难,但因本病病情重、进展快,早期不易与其他病原所致肺炎鉴别,易延误诊治,故尽早的搜寻病原学证据至关重要。聚合酶链式反应(PCR)因其高度的敏感性已成为目前临床腺病毒感染的检测和监测的重要依据,此外,常规的免疫荧光等技术检测腺病毒抗原以及IgM抗体,仍然是目前临床实验室诊断的常用方法。随着新一代测序技术成本的降低,整体基因组分析鉴定腺病毒型别可能成为不错的选择,甚至成为临床常规检查项目。故目前重症腺病毒肺炎需结合痰标本腺病毒病原学检查阳性,同时符合重症肺炎标准即可诊断。

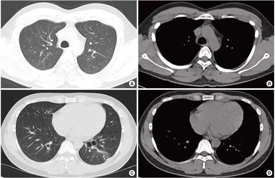
6个月后高分辨率CT随访发现肺纤维——轻度支气管扩张,左下叶基底段肺大泡。

四、重症腺病毒肺炎的治疗

1.抗病毒治疗  有前瞻性报道指出,腺病毒血症可以不出现临床症状,并可以自行消除。目前临床上并没有推荐使用的抗腺病毒药物。对于免疫功能正常的重症腺病毒肺炎患儿而言,其抗腺病毒治疗主要为临床治疗。然而对于免疫功能不全的患儿,其抗腺病毒治疗还包括预防治疗和抢先治疗(有腺病毒复制达到一定阈值,但无临床症状的患儿)。特别是对于接受同种异体移植治疗的群体而言,大多数重要指南推荐抢先治疗,用于抑制或减慢病毒复制,防止在免疫重建清除病毒之前病情加重。

(1)西多福韦  大多数研究证明,西多福韦在抢先治疗阶段对抑制体内腺病毒复制有效,但其在临床上治疗腺病毒引起的疾病仍然有局限性。西多福韦通过抑制病毒的DNA聚合酶,使病毒DNA失去稳定性,从而抑制病毒的复制。尽管在离体试验中报道过目前存在西多福韦有抵抗力的腺病毒突变类型,目前体内试验中该药仍然显示出对所有型别腺病毒的治疗有效。西多福韦亦有其局限性,如生物利用度低、药物疗效与计量相关性低,另外,西多福韦对肾脏具有剂量依赖的毒性,故用药期间需严密监测患儿肾小球和肾小管功能,同时给予水化和保肾治疗。

(2)利巴韦林 利巴韦林是临床常见的抗病毒药物,为鸟嘌呤的核苷类似物。腺病毒分离株的分析试验显示,利巴韦林对C群腺病毒具有持久的敏感性,但其在*试验中的治疗作用仍有争议。利巴韦林并不是抗腺病毒的常用推荐药物,但因其低肾毒性及价格低廉,故在临床仍有应用。

(3)更昔洛韦 更昔洛韦需要病毒胸苷激酶将其*化为更昔洛韦单*盐而发挥作用,但由于腺病毒缺乏该酶,故其抗腺病毒作用非常有限。基于目前的研究数据,该药不推荐作为抗腺病毒治疗的药物。

(4)其他抗病毒药物  十六烷丙氧基西多福韦(CMX001),是西多福韦的衍生物,其肾毒性与西多福韦相比显著下降,已成功应用于干细胞移植患者及其他免疫力受损患者的抗腺病毒治疗,但是腺病毒可能出现耐药突变。另一个新型抗病毒化合物三*更昔洛韦,不需病毒胸苷激酶进一步的*化,被认为可能具有抗腺病毒的作用。

2.合并其他病原感染的治疗  临床研究表明,重症腺病毒肺炎患儿易合并其他病原感染,其中常见的合并细菌感染有:肺炎链球菌、流感嗜血杆菌、副流感嗜血杆菌、肺炎克雷伯菌、鲍曼不动杆菌;常见的合并病毒感染有:呼吸道合胞病毒、流感病毒、副流感病毒;此外还易合并肺炎支原体感染。所以,在治疗腺病毒肺炎时应充分考虑合并感染的可能,选择正确的治疗方案。

3.免疫疗法  和其他病毒一样,腺病毒的清除同样受到机体固有免疫以及特异性免疫的影响。快速分泌的固有免疫抗病毒细胞因子,如IFN-γ、TNF等,可以被腺病毒激活并且作用于病毒生命周期的不同阶段,限制其复制和扩散;同时,固有免疫效应细胞,特别是自然杀伤细胞(NK细胞),可以非特异性地破坏被病毒感染的细胞,且具有较强的杀伤效力。但固有免疫反应不止是抵抗感染的第一道防线,同时还通过介导T细胞以及B细胞的增殖和分化促进特异性免疫反应。

(1)静脉用丙种球蛋白(IVIG)支持治疗  重症腺病毒肺炎时,腺病毒激*内大量炎症介质释放,机体防御机制过度激活引起全身炎症反应,进而导致多脏器功能损害,故对重症腺病毒肺炎的治疗应不仅限于控制感染。抗炎症反应,阻断或减少全身炎症反应所致的自身破坏,亦是重症腺病毒肺炎的重要治疗手段。IVIG是能够与特异性炎症起反应的抗体,其生物学功能主要是识别、清除抗原,抑制细胞因子生成,中和炎症因子、相关抗原及毒素,并参与免疫反应的调节。国内亦有研究表明,IVIG可提高腺病毒肺炎患儿免疫功能,主要通过提高机体IgG、CD4+T细胞、CD8+T细胞及CD4+/CD8+T细胞水平发挥作用。

(2)腺病毒特异性T细胞免疫治疗  研究表明,腺病毒特异性T细胞可以识别腺病毒结构蛋白氨基酸残基的保守序列,该保守序列中最重要的靶点是腺病毒六邻体蛋白,其包含了所有类型腺病毒共有的保守抗原表位。因此,儿童时期感染腺病毒后,诱导产生的细胞毒性T细胞是成人时期有较广泛的腺病毒免疫力的原因,且对不同型别的腺病毒有交叉作用。健康个体体内含有的腺病毒特异性T细胞,其再激活与病毒的清除密切相关。由于抗病毒药物的局限性,特异性T细胞免疫治疗在抗侵袭性腺病毒感染中担任重要角色,另外,从原始干细胞供体或是第三方供体提供的腺病毒特异性T细胞转移也是目前治疗侵袭性腺病毒感染的较好选择。

4.呼吸道管理与支持  重症腺病毒肺炎患儿呼吸道损害严重,故保持呼吸道通畅,改善肺通气及换气功能是治疗的重点。

(1)纤维支气管镜辅助治疗  在婴幼儿重症腺病毒肺炎的治疗中,纤维支气管镜在临床上也逐步推广起来,其不但可以清除肺内分泌物,改善有效气体*,还可以将治疗药物有效的注入到病变部位,增加其有效浓度,改善治疗效果;同时,纤维支气管镜可直视肺内病灶,更加直观地明确病变性质和炎症程度,同时灌洗液可行病原检查,更利于针对性治疗。

(2)氧疗以及人工通气治疗  氧疗为重症腺病毒肺炎患儿的常用治疗手段,临床常见的有鼻塞和鼻导管吸氧法、面罩吸氧法、机械通气给氧法。对于前两种方法供氧下仍存在呼吸衰竭的患儿,临床上可通过无创正压通气治疗予以辅助通气,若病情仍进行性加重,则应及时行气管插管有创通气。

(3)体外膜肺(ECMO)治疗  ECMO的本质是一种改良的人工心肺机,最核心的部分是膜肺和血泵,分别起人工肺和人工心的作用。国外针对使用ECMO治疗的腺病毒感染患儿进行的回顾性分析指出,住院期间使用ECMO支持治疗的腺病毒感染患儿,好转出院率为38%,但是在新生儿(<31d)中,仅为11%。故新生儿在选择该项诊疗技术时应更为谨慎。

5.合并症的治疗  重症腺病毒肺炎可造成多系统损害,病程中可伴有多种并发症,及时诊断和正确处理并发症对降低病死率、减少后遗症有重要意义。

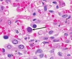
腺病毒包涵体

近年来腺病毒感染的诊断和治疗已取得了较大进展,然而仍有很多问题有待解决。首先临床医师需提高对该病的认识,一旦怀疑该病应尽早行痰腺病毒PCR检查确诊,并行胸部影像学检查了解病变范围及有无并发症。临床实用的检测分析方法包含腺病毒筛查和病毒的定量,为临床针对性治疗提供依据。重症腺病毒肺炎的治疗在抗病毒的同时,强调合并感染的治疗,免疫支持治疗(丙种球蛋白)等综合治疗手段。虽目前越来越多的新型药品、治疗手段应用于重症腺病毒肺炎的诊治,但尚无推荐的特异性治疗方法,故在儿童重症腺病毒肺炎的诊疗过程中强调早识别、早确诊,合理治疗,防治并发症。


资料来源:
黄淼综述,符州,罗蓉审校.儿童重症腺病毒肺炎诊疗进展.儿科药学杂志,2017,23(8):49-52.

您需要登录后才可以回帖 登录 | 立即注册

本版积分规则

版权所有:北京英芙麦迪科技有限公司       

地址:北京市顺义区竺园二街2号院8号楼301(天竺综合保税区)

电话:(010)-80489293-6011        邮件:hmp@bjhanmi.com.cn

互联网药品信息服务资格证书 京ICP备07502511号-4

药品医疗器械网络信息服务备案 (京)网药械信息备字(2022)第00010号

(京)-非经营性-2019-0001        京公网安备11011302001972

快速回复 返回顶部 返回列表