设为首页 收藏本站
立即注册
 找回密码
 立即注册
HMP医乐网 首页 新闻动态 行业资讯 查看内容

IBD:CT扫描肠造影可更好地评估CD患者术后复发情况

2013-10-22 08:58| 发布者: admin| 查看: 149| 评论: 0

放大 缩小
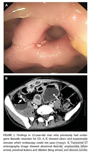
简介:一名22岁接受回结肠切除治疗的克罗恩病男性患者的检查结果。A.为内镜结果,显示溃疡形成,吻合口狭窄,内镜无法通过。B.为CT扫描肠造影结果,显示异常回-结肠吻合,近端回肠病变扩张、脓肿形成。研究热点:...


一名22岁接受回结肠切除治疗的克罗恩病男性患者的检查结果。

A.为内镜结果,显示溃疡形成,吻合口狭窄,内镜无法通过。B.为CT扫描肠造影结果,显示异常回-结肠吻合,近端回肠病变扩张、脓肿形成。

研究热点:

空结肠镜检查是评估克罗恩病患者接受回结肠切除在术后复发情况的金标准。
本研究在32例接受回结肠切除手术治疗的患者中比较了回结肠镜及CT扫描肠造影在评估克罗恩病患者术后复发情况中的应用价值。
CT扫描肠造影能更好的对该类患者术后复发进行评估,并对确定进一步治疗方案有更优的提示作用。是内镜检查的有效辅助检查方法。
对于接受了空结肠切除术治疗的克罗恩病患者,空结肠镜检查是评估术后复发情况的金标准。虽然计算机断层扫描肠动描记法(CT肠造影)主要应用于发现小肠克罗恩病变,其在术后复发评估方面的作用仍不明确的。中山大学第一附属医院陈旻湖等人比较了回结肠镜及CT扫描肠造影在评估克罗恩病患者术后复发情况中的应用价值。

该项研究包括32名进行了回结肠切除术的克罗恩病患者。所有患者均进行CT扫描肠造影检查,在该检查进行1周内进行内镜检查。内镜检查利用Rutgeerts评分(i0-i4)进行术后复发评估。根据之前确认的CT扫描肠造影检查评估分数(CTE0-CTE3)判断CT扫描肠造影检查下术后复发的情况。对所有患者进行随访,随访时间最长为30个月。主要实验终点为再次手术。

内镜检查及CT扫描肠造影检查对术后复发情况的评估有很好的一致性(r = 0.782)。CT扫描肠造影诊断出7例空肠或近端回肠病变患者,3例发生瘘管以及4例出现脓肿的患者。修改了全部32例患者中8例患者的治疗方案(25%)。11例病人接受了再次手术。根据Rutgeerts评分分为i3-4和i0-2两个亚组,在两组之间需要再次手术治疗的比例并无显著差异。根据CT扫描肠造影的评分分为CTE2-CTE3及CTE0-CTE1两个亚组,在两组之间需要再次手术治疗的比例具有显著性差异。

在接受回结肠切除手术治疗的克罗恩病患者中,CT扫描肠造影是一项可靠的评估术后复发情况的检查方式。对于评估克罗恩病患者术后疾病发展情况CT扫描肠造影是一项重要的辅助内镜检查的工具。

研究背景:

克罗恩病是一种以复发和持续进展为特征的胃肠道慢性炎症。在克罗恩病自然发展病程中,有2/3患者需要接受至少一次的回结肠切除治疗。然而切除病变部位并不能达到治愈克罗恩病的目的,术后复发仍然十分常见。大约有70%到90%的患者在进行空结肠切除后1年内内镜检查会发现复发病灶。目前空结肠镜检查被认为是评估克罗恩病术后复发情况的金标准。

内镜下复发是指在手术完全切除了明显病变部位后,通过内镜发现肠道的新病损,但患者无明显临床症状。吻合口和回肠新末端处内镜下复发评估通常采用Rutgeerts评分:0级,没有病损;1级,小于5个阿弗他溃疡;2级,超过5个阿弗他溃疡,在各个病损之间仍有正常黏膜,或节段性大病损,或病损局限于回肠-结肠吻合口处(<1cm);3级,弥漫性阿弗他回肠炎件弥漫性黏膜炎症;4级,弥漫性黏膜炎症并大溃疡、结节及(或)狭窄。充血和水肿不能单独作为术后复发的表现。

Rutgeerts评分用于评估复发的严重程度,能很好的预测是有症状的复发,或克罗恩病相关并发症发展所致或是需要再次手术治疗的复发。但回结肠镜检只能对内镜所能达到范围内的肠粘膜进行检查。病变位于末端回肠术后吻合口狭窄及病变位于近端上段小肠的患者的术后复发情况无法采用回结肠镜进行评估。而且,回结肠镜无法对肠外并发症如脓肿、瘘管形成等进行鉴定,而这些并发症往往可以影响治疗策略。

电子计算机断层扫描肠造影可以用于检测克罗恩病患者的病变程度、疾病活动程度以及肠外并发症情况。活动期典型克罗恩病的造影影像学表现为:肠壁明显增厚(>4mm),肠粘膜明显强化伴有肠壁分层改变,粘膜内环和浆膜外环明显强化,呈“靶症”或“双晕征” ;肠系膜血管增多、扩张、扭曲,呈“木梳征”;相应系膜脂肪密度增高、模糊;肠系膜淋巴结肿大等。但评估电子计算机断层扫描肠造影评估克罗恩病术后复发的能力的相关研究少见研究报道。

本研究中比较了电子计算机断层扫描肠造影的表现与内镜下Rutgeerts评分之间的差异,以此对电子计算机断层扫描肠造影用于接受空结肠切除治疗后的克罗恩病患者术后复发情况评估手段的价值进行评价。

来源:丁香园

推荐阅读

版权所有:北京英芙麦迪科技有限公司       

地址:北京市顺义区竺园二街2号院8号楼301(天竺综合保税区)

电话:(010)-80489293-6011        邮件:hmp@bjhanmi.com.cn

互联网药品信息服务资格证书 京ICP备07502511号-4

药品医疗器械网络信息服务备案 (京)网药械信息备字(2022)第00010号

(京)-非经营性-2019-0001        京公网安备11011302001972

返回顶部