设为首页 收藏本站
立即注册
 找回密码
 立即注册
HMP医乐网 首页 新闻动态 行业资讯 查看内容

<病例>发热贫血肝内多发占位病变(下)

2012-2-3 10:19| 发布者: admin| 查看: 167| 评论: 0

放大 缩小
简介:入院后的进一步检查常规检查及影像学检查患者血常规检查结果显示,WBC为6.14×109/L,Hb为72g/L,红细胞平均体积(MCV)为87.4fL,平均红细胞血红蛋白含量(MCH)为29.1pg,平...

入院后的进一步检查

  常规检查及影像学检查

  患者血常规检查结果显示,WBC为6.14×109/L,Hb为72 g/L,红细胞平均体积(MCV)为87.4 fL,平均红细胞血红蛋白 含量(MCH)为 29.1 pg,平均红细胞血红蛋白浓度(MCHC)为333 g/L,PLT为109×109/L,网织红细胞(RET)比例 为 1.75%。

  凝血分析结果显示,PT为15.4秒,PTA为59.54%,INR为1.34,APTT为 39.2秒。

  生化检查的结果显示,ALT为18 U/L,AST为49 U/L,γ-GT为104 U/L,乳酸脱氢酶(LDH)为355 U/L,ALB 为34.1 g/L,TBil为26.6 μmol/L,DBil为14.9 μmol/L。

  电解质检查显示,血钾为4.05 mmol/L,血钠为 134.8 mmol/L。二氧化碳为 20.6 mmol/L。

  肿瘤常规检查显示,癌抗原(CA)125 为53.69 U/ml,升高,甲胎蛋白(AFP)、癌胚抗原(CEA)、CA19-9、细胞角蛋白片段21-1(CYFRA21-1)、神经元特异性烯醇化酶(NSE)及CA15-3均无异常。

  超声心动检查的结果显示,主动脉钙化,主动脉内流速增高,左室舒张功能减退。

  腹部超声检查的结果显示,肝脏形态异常,肝右叶最大斜径17.4 cm,左肝剑下径7 cm,肝内弥漫分布多发实性高回声及等回声团块,最大4.7 cm×2.8 cm。诊断为弥漫性肝肿大,肝内多发实性占位性病变。

  肝弹性测定结果为67.8 KPa。

  肝组织学检查结果

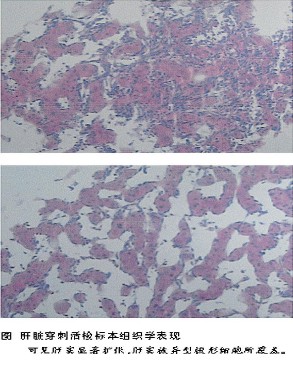
  入院当天,在 超声引导下对患者进行肝组织活检。病理结果显示(肝脏穿刺活检标本),送检肝组织4条,其中3条组织肝窦显著扩张,肝窦被覆异型梭形细胞,另1条组织中肝组织结构破坏,可见梭形细胞肿瘤成分,其间可见不规则的裂隙,细胞异型明显(图)。

  结合免疫组化染色结果显示,角蛋白(CK)阴性,肝细胞(Hepatocyte)(肝细胞+,肿瘤细胞-),波形蛋白(Vimentin)阳性 (++),CD31阳性(++),CD34阳性(++),突触蛋白(Syn)阴性,嗜铬蛋白A(CgA)阴性,CD56阴性,LCA为散在少数细胞 (+),细胞增殖相关抗原Ki-67(+,50%)。

  上述检查结果符合符合血管来源性的恶性肿瘤,因此,肝血管肉瘤的可能性大。

  

院内治疗及病情分析

  入院后,给予患者低脂糖尿病软食、复方甘草酸苷、多烯磷脂酰胆碱胶囊及谷胱甘肽保肝、呋塞米及螺内酯利尿、氯沙坦降压、胰岛素控制血糖的治疗。

  根据肝组织学病理的结果,考虑“肝血管肉瘤”诊断明确。在上述治疗的基础上,联合胸腺肽增强免疫及补充白蛋白等支持治疗。

  患者有发热、咳嗽、咳痰,入院初接受莫西沙星抗感染治疗,但入院后的第3天体温较前升高,最高至38.2℃。

  对于体温升高,首先要考虑的是感染控制不佳有关,同时也不除外淋巴瘤或实体瘤导致的肿瘤性发热的可能。

  在等待病理检查结果的同时,将该患者的治疗调整为哌拉西林/他唑巴坦抗感染及氨溴索化痰治疗。在连续治疗8天后,患者仍然发热,结合肝组织学病理结果,目前发热首先考虑肿瘤性发热,遂停用静脉用抗生素,给予头孢克洛口服。

  患者存在贫血(中度),血常规检查提示为正细胞、正色素,网织红细胞比例升高,近期复查的叶酸、Vit B12及血清铁结果均正常,骨穿已除外骨髓增生障碍、骨髓增生异常等疾病。因此,经过综合考虑,该患者的慢性贫血由肝血管肉瘤所引起的可能性大。

  

分析与讨论

  血管肉瘤是一种来源于血管内皮细胞的恶性肿瘤,多发生于皮肤及软组织,尤以头面部最为多见。发生于肺、心脏、肝、脾、睾丸、乳腺等部位的血管肉瘤也皆有报告。

  在血管肉瘤中,肝血管肉瘤(HA)是一种由肝窦血管内皮细胞发生的非常少见的恶性间叶性肿瘤,肿瘤起源于肝窦壁细胞,常呈多发。

  肝血管肉瘤的发病率为0.14~0.25例/100万人,约占肝脏原发性肿瘤的1%~2%。

  肝血管肉瘤的发病原因

  本病好发于50岁以上男性(男女之比为3~5:1)。病因尚不明确,一般认为与肝硬化(主要是坏死后肝硬化与血色病所致的肝硬化)、密切接触某些致癌物质如氯乙烯、二氧化钍、砷类等有关,其他制剂如硫酸铜、雌激素、口服避孕药和苯乙肼也与该病有关。

  我国已将职业性接触氯乙烯所致的肝血管肉瘤列入职业病名单。

  该患者既往长期接触正己烷20余年,长期口服避孕药约15年,考虑存在患本病的危险因素。

  肝血管肉瘤的临床表现

  肝血管肉瘤的临床表现不典型。右上腹痛、食欲减退、不明原因发热、消瘦、贫血、血小板减少及腹部包块是较为常见的临床表现。可因病情进展迅速出现肝功能急剧下降,可因肿瘤坏死破裂、凝血因子消耗而并发腹腔内积血、弥散性血管内凝血。

  该例患者无明显的腹部症状,但有贫血、发热等全身临床表现。

  如何诊断

  肝血管肉瘤

  1. 超声检查

  肝血管肉瘤的超声表现为肝内单个或多个肿块回声,形态不规则,可呈实质性,也可显示为囊性,但囊内一般可见点状回声且壁较厚,病变由高回声到无回声不等,根据内部出血、坏死程度的不同,其内部回声各不相同,彩色多普勒可显示肿块内部丰富的血流信号。

  尽管有时仍不能与肝细胞肝癌、肝转移癌等鉴别,但上述改变可提示肝内恶性肿瘤的诊断。而在早期,也可仅表现为边界较清晰的低回声,内部见少许带状回声,彩色多普勒血流显像未显示动脉血流信号,很似海绵状血管瘤的声像图改变。

  2. CT及PET-CT检查

  CT平扫显示为多发或单发的低密度病灶,强化后部分病灶可强化,部分病灶可并不强化。有学者认为,多期强化有助于肝脏良、恶性血管瘤、肝癌和转 移瘤的鉴别。与肝血管瘤如海绵状血管瘤相比,肝血管肉瘤的强化CT呈现早期瘤灶中心强化和动脉门静脉分流影像;与肝细胞肝癌快进快出的强化特征相比,肝血 管肉瘤表现为连续渐进的向心性强化。

  在临床实际工作中,腹部超声、腹部增强CT、PET-CT的影像表现很难与肝血管瘤、肝细胞癌、肝转移癌鉴别。

  该患者经腹部超声、腹部CT、PET-CT检查后,影像学仍然无定论。

  3. 组织学检查

  对于明确肝血管肉瘤诊断,以上影像学检查存在很大困难,因而肝组织穿刺活检显得非常重要。肝血管肉瘤进行穿刺活检的出血风险较大,但在影像介导下的穿刺是必要且安全的。

  典型的病理学表现为异型性增生的肿瘤细胞覆盖性生长,肝细胞萎缩,肝窦变宽,瘤细胞突入血管腔。CD34、CD31、Ⅷ因子和Vimentin等指标的免疫组化染色阳性有助于诊断肝血管肉瘤。

  肝血管肉瘤的

  治疗

  肝血管肉瘤临床罕见,恶性度高,进展迅速,预后差,平均生存期仅为6个月。该病对放疗、化疗均不敏感,手术切除为首选治疗方法,但术后短期复发 率高。有研究显示,与单纯手术者相比,完整切除肿瘤后辅以吡柔比星+卡铂+氟尿嘧啶、氮烯咪胺+异环磷酰胺和异环磷酰胺+卡铂+鬼臼乙叉甙联合化疗,可明 显延长患者生存期。

  国内有因该病接受肝移植的病例报告,其中1例无长期随访资料,1例生存期为3个月,1例生存期为8个月。多激酶抑制剂索拉菲尼在该病的临床应用有待进一步研究。

  在临床上,应提高对肝血管肉瘤的认识,以达到提高早期诊断率的目的;确诊后,如肿瘤局限于肝一叶且无转移灶时,手术切除是首选方法。关于术后综合治疗的方案及治疗的必要性,尚有待继续积累病例资料,进行更深入的研究。来源:华语消化网

推荐阅读

版权所有:北京英芙麦迪科技有限公司       

地址:北京市顺义区竺园二街2号院8号楼301(天竺综合保税区)

电话:(010)-80489293-6011        邮件:hmp@bjhanmi.com.cn

互联网药品信息服务资格证书 京ICP备07502511号-4

药品医疗器械网络信息服务备案 (京)网药械信息备字(2022)第00010号

(京)-非经营性-2019-0001        京公网安备11011302001972

返回顶部